
Dental Check-up & Oral Examination
Get a complete dental check-up and oral examination in Vijayawada to detect early signs of cavities, gum issues, or other oral health concerns. Ideal for maintaining long-term dental wellness.
Experience comfort, confidence, and complete oral health in every visit with our gentle care, advanced treatments, and a team dedicated to keeping your smile bright and healthy.
Know More
Looking for reliable dental care in Vijayawada? We offer a full range of professional dental services — from preventive check-ups and cleanings to advanced treatments like root canals, implants, braces, and smile makeovers. Our expert dentists in Vijayawada ensure quality care and a comfortable experience for every patient.


Years
Experience

Certified Dentists in Vijayawada
Award Winning Clinic in Vijayawada
About Us
Dr. Uday’s Dental Care Vijayawada is one of the best dental clinics in Vijayawada, offering complete oral and cosmetic dental solutions with modern technology and compassionate care. With over 10 years of experience and multiple branches across the city, we’re committed to delivering painless, professional, and personalized dental treatments to every patient.
Top Rated By Patients
Patient Satisfaction Rate
Explore world-class dental treatments in Vijayawada — from cosmetic makeovers to advanced implant dentistry, provided by our expert team at Dr. Uday’s Dental Care.

Restore decayed or damaged teeth with aesthetic composite or amalgam fillings.

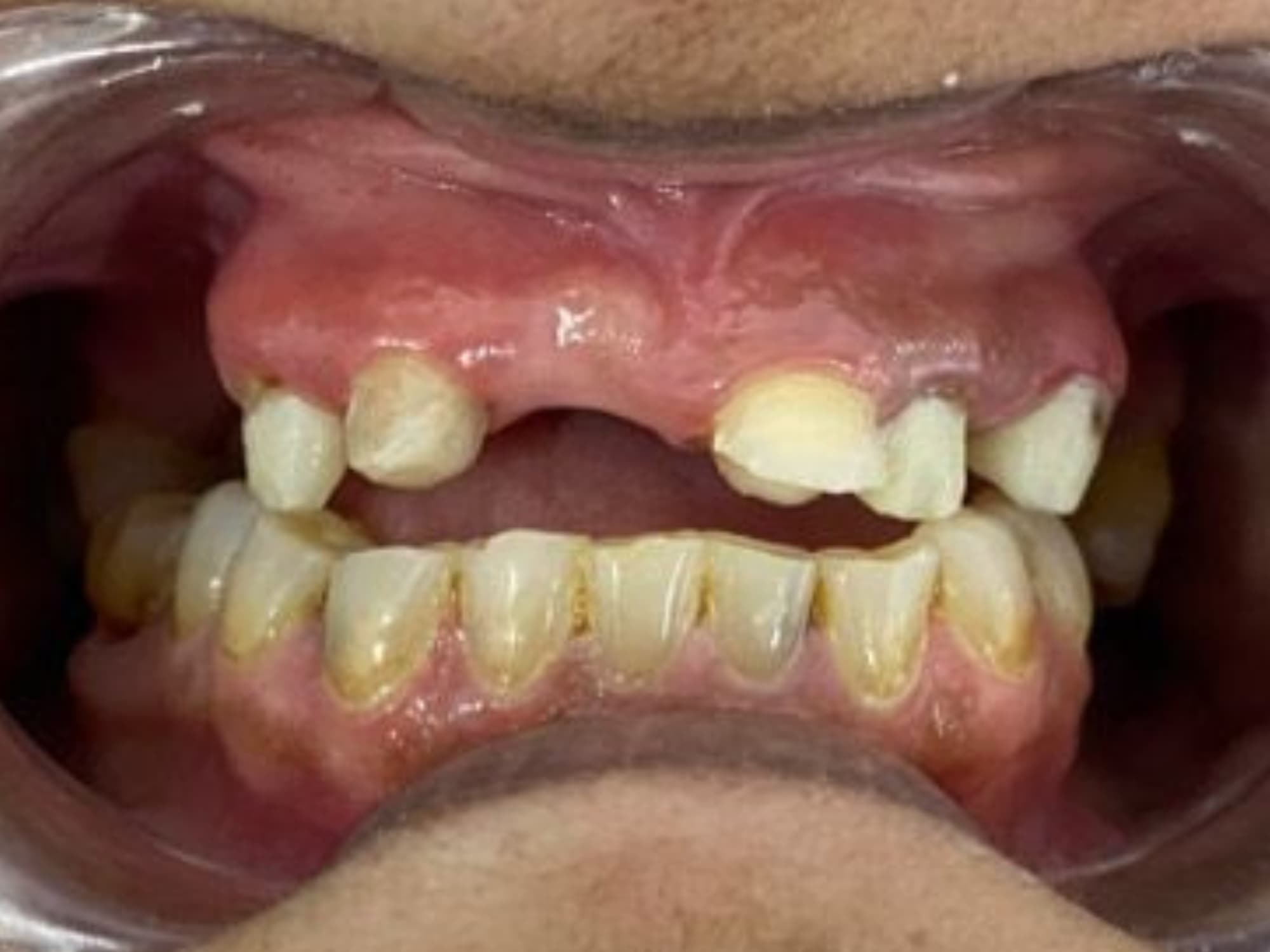
Strong, natural-looking restorations to protect and replace missing teeth.

Custom restorations for durability and an enhanced smile appearance.

Comprehensive reconstruction for functional and aesthetic smile restoration.

Relieve pain and save your tooth with advanced pain-free endodontic therapy.

Targeted treatment to preserve natural tooth structure and stop infection.

Align and straighten your teeth with precision orthodontic correction.

Treat bite misalignments to improve function, comfort, and aesthetics.

Virtually invisible aligners for convenient, discreet teeth straightening.

Remove plaque, tartar, and bacteria from below the gum line for healthier gums.

Treat inflammation, bleeding, and infections to protect your gum health.

Rebuild and restore gum tissue for improved oral health and appearance.

Safe, gentle removal of damaged or impacted teeth including wisdom teeth.

Permanent, natural-looking replacements for missing teeth.

Prepare your jaw for implants with advanced bone regeneration procedures.

Comfortable, custom-made removable or fixed tooth replacement options.

Long-lasting implant-supported restorations for stable, natural smiles.

Brighten your smile with in-office or take-home professional whitening.

Enhance tooth shape and color with minimal preparation cosmetic solutions.

Personalized smile makeovers that enhance your facial harmony and confidence.

Preventive and restorative dental care designed for young patients.

Gentle care for temporary teeth and early dental issues in children.

Quick response care for fractured, displaced, or knocked-out teeth.

Targeted treatment to eliminate infection and relieve pain quickly.

Protect teeth from grinding and relieve jaw joint discomfort.

Strengthens enamel, prevents decay, and relieves tooth sensitivity.

Ensure long-term success and oral wellness after dental treatments.
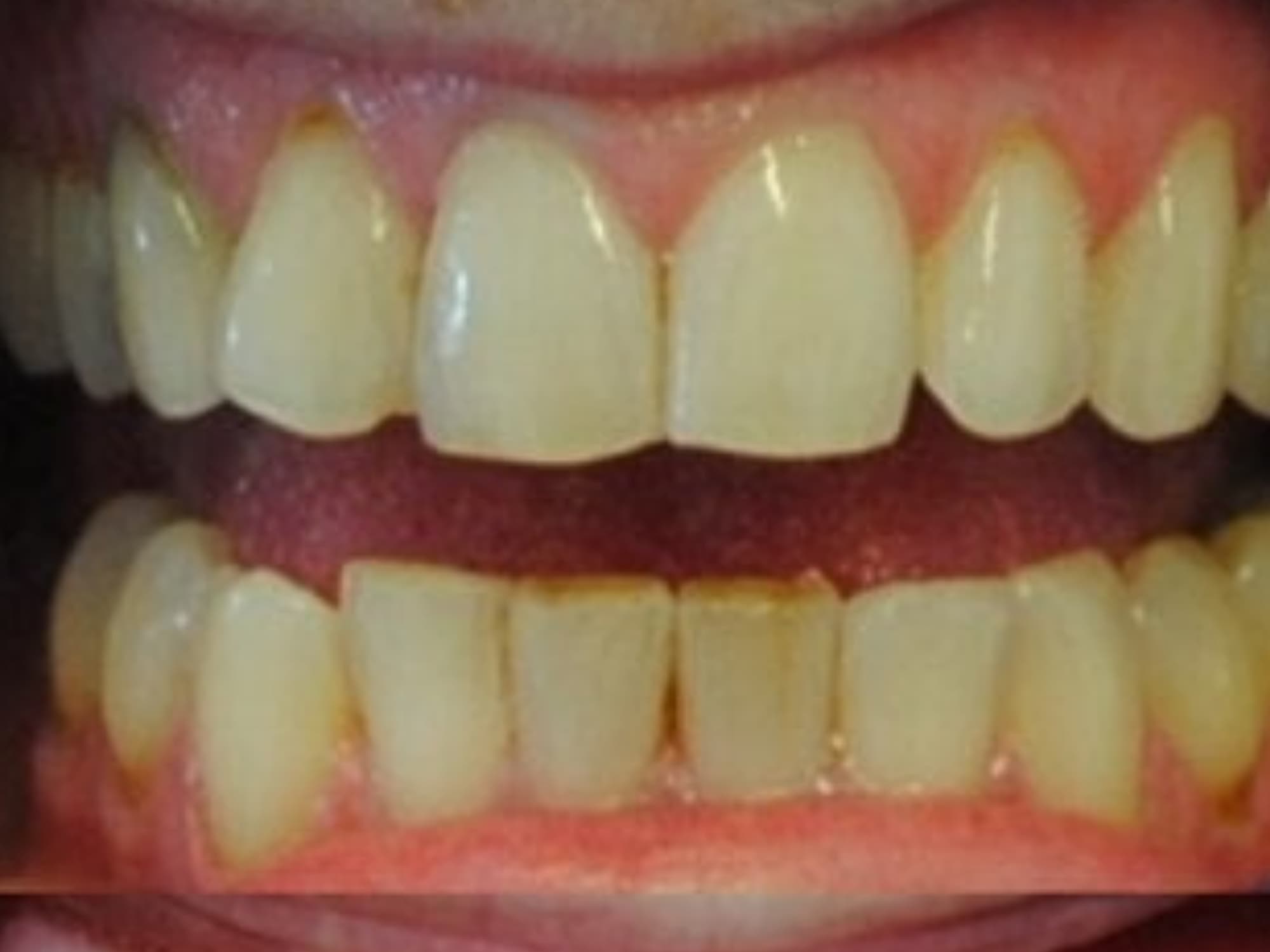
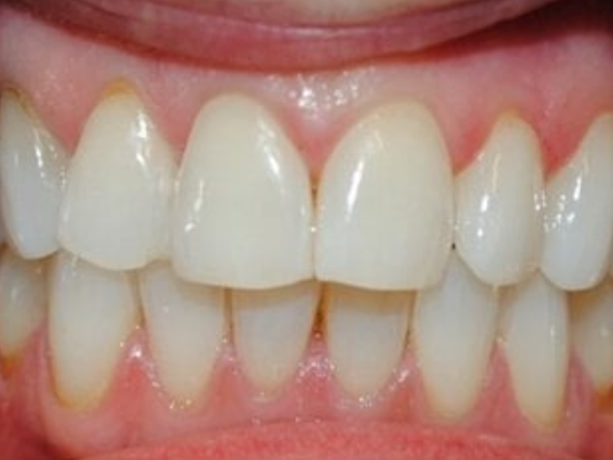
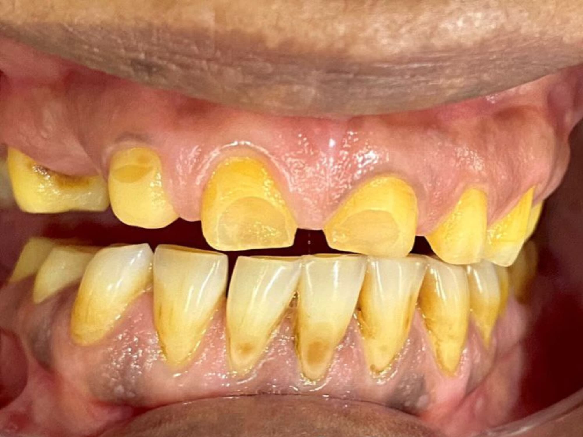
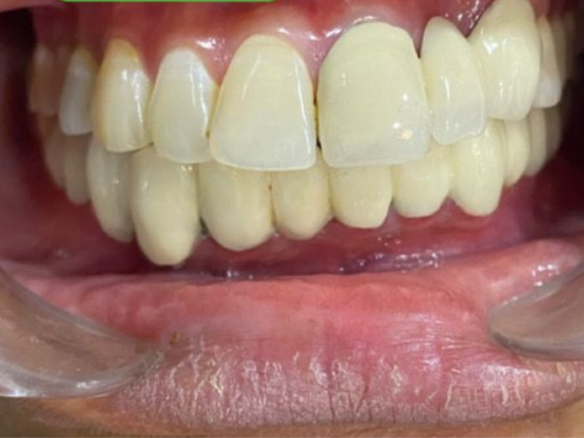
Explore real patient smile transformations in Vijayawada — powered by advanced dental care, cosmetic treatments, and expert dentists.
Get professional teeth whitening in Vijayawada for visibly whiter and brighter teeth in just one session.


Customized dental dentures in Vijayawada for a natural look and improved chewing comfort.


Expert crown and bridge work in Vijayawada to restore broken or missing teeth with natural aesthetics.


Transform your smile with a complete smile makeover in Vijayawada using advanced dental techniques.


High-quality composite dental fillings in Vijayawada to restore decayed or chipped teeth seamlessly.


Premium porcelain veneers in Vijayawada to enhance your smile by correcting shape, color, and alignment.


Permanent dental implant treatment in Vijayawada for replacing missing teeth with natural-looking results.


Advanced crown and bridge restoration in Vijayawada for durable and aesthetic tooth replacement.


Clear Invisalign aligners in Vijayawada for comfortable, discreet teeth straightening without braces.


Orthodontic braces treatment in Vijayawada to correct crooked teeth and improve bite alignment.


Painless root canal treatment in Vijayawada to eliminate infection and save your natural tooth.


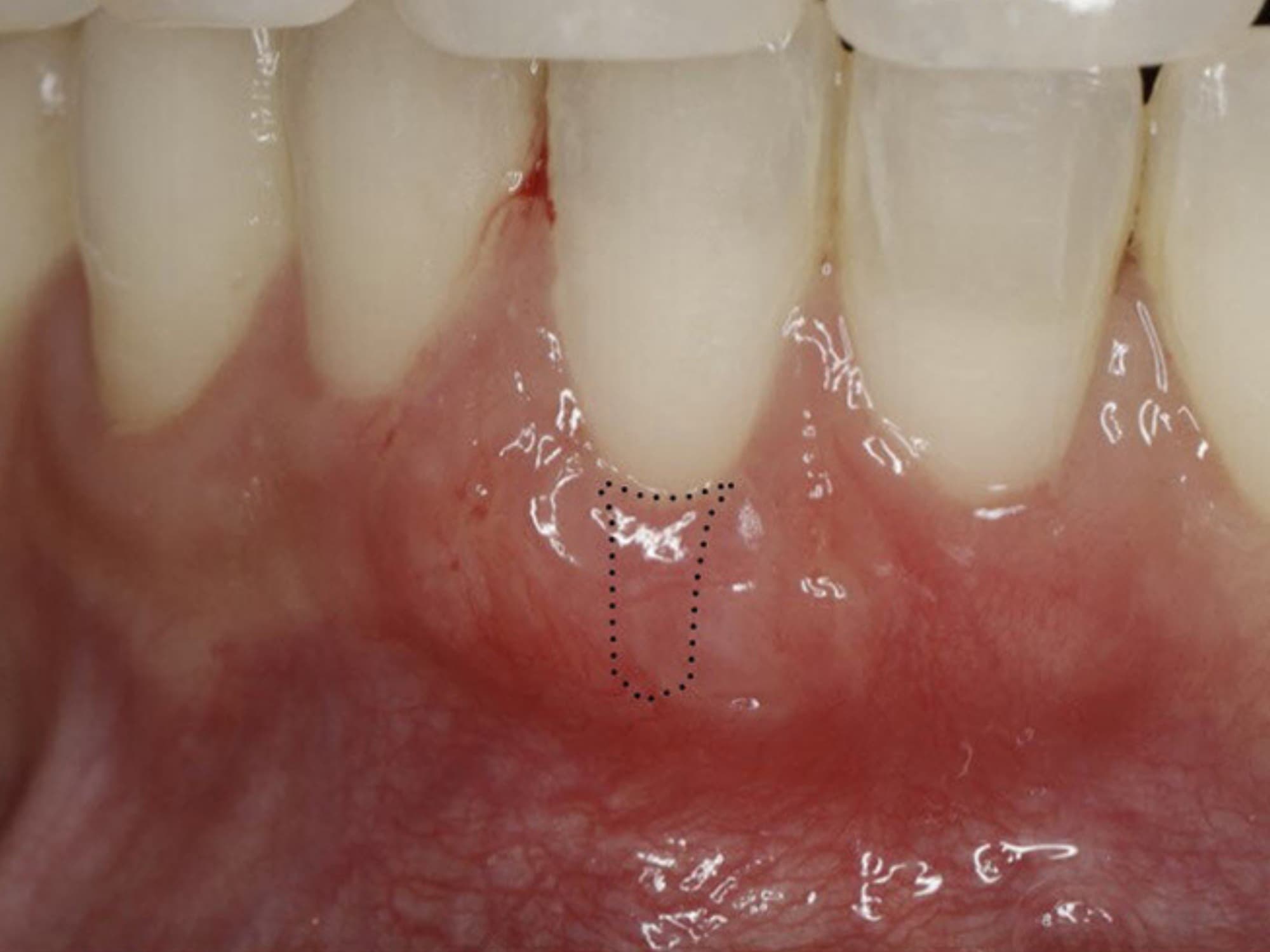
Professional gum grafting in Vijayawada to treat gum recession and restore healthy, balanced gums.


Discover complete dental care in Vijayawada — from cosmetic smile makeovers to advanced implant and orthodontic treatments — delivered by experienced dental professionals using modern technology.
Get professional teeth whitening and smile makeover treatments in Vijayawada for a brighter, whiter, and more confident smile using safe and advanced dental technology.
Restore missing teeth permanently with durable dental implants in Vijayawada that look, feel, and function just like your natural teeth for a lasting smile.
Experience painless root canal treatment in Vijayawada to save infected teeth, relieve pain, and preserve your natural smile with expert endodontic care.
Straighten your teeth and correct bite issues with modern braces and Invisalign clear aligners in Vijayawada for a perfectly aligned, confident smile.
Protect and restore damaged or missing teeth with high-quality zirconia and PFM crowns and bridges in Vijayawada designed for strength and natural aesthetics.
Advanced gum treatment and gum grafting in Vijayawada to manage gum disease, restore receding gums, and improve the overall health of your smile.
Can't find what you're looking for?
At Dr. Uday’s Dental Clinic & Implant Centre in Vijayawada, our experienced team of dentists and implant specialists are dedicated to delivering world-class dental care. Whether you’re looking for cosmetic, preventive, or implant dentistry, our experts ensure your best smile with advanced treatments.
Experienced and caring dental professionals dedicated to creating healthy, confident smiles.
Our dental specialists in Vijayawada combine expertise and compassion to deliver pain-free, precise, and personalized dental care.
Certified experts in implantology and advanced dental treatments, ensuring the best outcomes for every patient all over Vijayawada.


Every smile tells a story of confidence, care, and transformation. Discover how Dr. Uday’s Dental Clinic and Implant Centre, Vijayawada has helped patients regain their smiles through advanced dental treatments and personalized care.

"Anitha Reddy – Painless Root Canal Treatment at Vijayawada"
I was nervous, but the entire root canal was smooth and completely painless!
“Dr. Uday’s Dental Clinic in Vijayawada made my experience so comfortable. The team explained each step clearly, and I’m so happy I chose them for my treatment.”

"Kavya – Complete Smile Makeover in Vijayawada"
My smile makeover gave me the confidence I’d been missing for years.
“I always hesitated to smile in public. After my customized smile design at Dr. Uday’s Dental Clinic, I feel proud of my teeth again. The transformation was incredible!”

"Srinivas Rao – Full Mouth Dental Implants at Vijayawada"
I can eat anything again and my smile feels completely natural.
“After years of dental issues, Dr. Uday’s advanced implant treatment gave me a full smile again. The results are life-changing – I look younger and feel confident.”

"Meena – Clear Aligners Journey with Dr. Uday’s Dental Clinic, Vijayawada"
My teeth straightened faster than I expected – pain-free and seamless!
“From consultation to completion, my clear aligner treatment was perfectly guided. The doctors at Dr. Uday’s Dental Clinic made it simple, quick, and effective.”

Experience advanced dental treatments in Vijayawada with DR UDAY'S Dental & Implant Centre — a state-of-the-art clinic for implants, aligners, root canals, and smile makeovers.
Mon – Sun: 9:00 AM – 9:00 PM Emergency Dental Care: 24/7 Available
By 2000+ Patients
Immediate treatment for tooth pain, accidents, or swelling
Call us immediately
+91 7981168684